Dr. Dora Lengyel
Im CVUA Stuttgart wurde bei einem drei Wochen alten Stutfohlen die seltene Tyzzer-Krankheit nachgewiesen. Was ist das für eine Krankheit, wie entsteht sie, wie wird sie nachgewiesen und kann man seine Pferde davor schützen?
Der Erreger der Tyzzer-Krankheit wurde erstmals von dem Harvard-Professor Ernest Edward Tyzzer im Jahr 1917 bei Mäusen beschrieben und nach ihm benannt. Seit 1964 wird über schwere Krankheitsverläufe bei Pferden berichtet. Empfänglich sind insbesondere Fohlen, Lagomorpha (Hasenartige) und Nagetiere bzw. Versuchstiere, die Krankheit kann aber auch bei zahlreichen Wild- und Heimtieren auftreten. Auch von Infektionen bei Menschen wurde berichtet.
Der Krankheitserreger, Clostridium piliforme, ist ein gramlabiles, anaerobes, obligat intrazelluläres Bakterium, das ausschließlich innerhalb von Wirtszellen lebt und sich vermehren kann. Es ist dank seiner sporenbildenden Eigenschaft äußerst widerstandsfähig, wobei die Sporen mehr als ein Jahr in der Umwelt überdauern können. Der Erreger und seine Sporen kommen in der Umwelt und im Gastrointestinaltrakt von Nagetieren (Erregerreservoir) vor.
Die genaue Pathogenese der Krankheit ist noch unklar, es wird jedoch vermutet, dass erwachsene Pferde als symptomlose Träger bei der Infektion eine wesentliche Rolle spielen. Nach der Aufnahme von kontaminiertem Kot können die Bakteriensporen zu einer Besiedlung des Darmtraktes führen und sich schließlich im Blut des Fohlens verbreiten.
Die diagnostischen Möglichkeiten sind bei der Tyzzer-Krankheit eingeschränkt, da die Kultivierung des Bakteriums sehr schwierig ist und es sich nur in Zellkulturen oder embryonierten Hühnereiern vermehren lässt. Eine definitive Diagnose basiert in den meisten Fällen auf dem Ergebnis der Sektion und der pathohistologischen Untersuchung, einschließlich einer Spezialfärbung der Bakterien. Auch eine PCR-Untersuchung steht zur Verfügung.
Die Tyzzer-Krankheit befällt überwiegend Fohlen im Alter von wenigen Tagen bis wenigen Wochen, ältere Tiere werden durch eine stabile Darmflora resistent. Prädisponiert sind Fohlen mit geschwächtem Immunsystem oder diätetischem Ungleichgewicht, daneben sind auch gesunde, aber schnellwachsende Fohlen betroffen.
Die von einer Infektion mit Cl. piliforme betroffenen Fohlen erkranken sehr schwer oder werden plötzlich ohne vorherige Krankheitsanzeichen tot aufgefunden. Der Krankheitsverlauf kann von wenigen Stunden bis hin zu zwei Tagen dauern. Zu den Symptomen gehören Depression, Appetitloskeit, Fieber, Ikterus (Gelbsucht), Durchfall und Festliegen.
Bei der Sektion werden pathologische Veränderungen meistens in der Leber, weniger häufig im Dickdarm und/oder im Herzmuskel beobachtet. Die Literatur bezeichnet diese drei Organe als „die klassische Triade“ der Tyzzer-Krankheit. Obwohl deren Ausprägung und Verteilung zwischen den Fällen variiert, ist bei den meisten Fohlen nur die Leber betroffen. Durch die starke Schädigung des Lebergewebes ist ein allgemeiner Ikterus ein häufiger Sektionsbefund. Zusätzlich können Blutungen in verschiedenen Organen beobachtet werden.
Bei der feingeweblichen (pathohistologischen) Untersuchung können ausgeprägte nekrotisierende, entzündliche Herde in den betroffenen Geweben festgestellt werden. Die Herde finden sich in erster Linie in der Leber und in geringerem Maße in Darmtrakt und Herzmuskel. Der Erreger kann mittels einer Spezialfärbung (Versilberung durch Warthin-Starry oder Giemsa-Färbung) nachgewiesen werden. Hierbei lassen sich die intrazellulären, filamentösen Bakterien von dem umliegenden Gewebe durch eine Silberfärbung differenzieren.

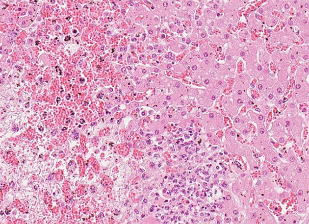
Abbildung 1. Pathohistologisches Bild der massiven Leberzellnekrose; rechts im Bild nur leicht veränderte Leberzellen; links im Bild hochgradig nekrotische Zellen mit Abräumreaktion und starker Einblutung. HE, 20x
Ein plötzlich verstorbenes, drei Wochen altes Stutfohlen wurde zur Sektion ins CVUA Stuttgart gebracht. Laut Vorbericht wurde das Fohlen termingerecht geboren und zeigte in den ersten Wochen eine gute Entwicklung. Unerwartet wurde es dann jedoch in Seitenlage vorgefunden, zeigte Schnappatmung und verendete innerhalb kürzester Zeit. Es fanden sich keine Auffälligkeiten oder Krankheitsanzeichen die den Todesfall erklären konnten, weshalb die Untersuchung am CVUA Stuttgart beantragt wurde.
Bei der Sektion fielen ein ausgeprägter allgemeiner Ikterus, Blutungen in verschiedenen Organen und pathomorphologische Veränderungen in der Leber und im Darmtrakt auf. Die feingewebliche Untersuchung ergab massive multifokale Lebernekrosen sowie Nekrosen in der Herzmuskulatur und im Darm. Der Vorbericht und die pathologischen Befunde legten den Verdacht der Tyzzer-Krankheit nahe. Daher wurde die histologische Warthin-Starry-Spezialfärbung im Lebergewebe angewendet, um die obligat intrazellulären Bakterien nachzuweisen. Diese deckte eine massenhafte Ansammlung von intrazellulären, filamentösen Bakterien in der Nähe der Nekroseherde auf, typisch für Cl. piliforme.
Die Diagnose der Tyzzer-Krankheit wird in der Regel nach den pathomorphologischen Befunden und den Ergebnissen der histologischen Untersuchung inklusive Spezialfärbung des Gewebes gestellt, da die Kultivierung des Bakteriums auf gewöhnlichen Nährmedien nicht möglich ist. Die endgültige Diagnose wurde in unserem Fall mittels einer RT-PCR Untersuchung aus der Leber bestätigt.

Abbildung 2. Massenhaft, vorwiegend intrazelluläre, filamentöse Clostridium piliforme Bakterien (blaue Pfeile). Warthin-Starry, 25x
Die Tyzzer-Krankheit ist eine tödliche Erkrankung der jungen Fohlen, die häufig zu einem raschen Tod führt. Erwachsene Pferde können als symptomlose Träger den Krankheitserreger Clostridium piliforme mit dem Kot ausscheiden und werden so zur Infektionsquelle für die Fohlen. Auch Nagetiere können ein Erregerreservoir darstellen.
Eine gezielte Therapie ist aufgrund der intrazellulären Lebensweise und Vermehrung des Bakteriums nicht möglich, symptomatische Therapieversuche gelingen in der Regel nicht. Eine prophylaktische Impfung steht leider ebenfalls nicht zur Verfügung. Die wichtigste und einzige Möglichkeit, um diese Krankheit zu verhindern, ist die Prävention durch eine gute Weide- und Stallhygiene.
Die Tyzzer-Krankheit ist eine sporadisch auftretende Erkrankung, die Fohlen im Alter von einigen Tagen bis zu zwei Monaten betrifft und oft tödlich verläuft. Der Erreger, Clostridium piliforme, ist ein sporenbildendes, intrazelluläres Bakterium, das vor allem in der Leber schwere Entzündungen und Nekrosen auslöst, die schließlich zu einem starken Ikterus (Gelbsucht) und zum Tod führen. Die Therapiemöglichkeiten sind aufgrund der Eigenschaften des Bakteriums stark eingeschränkt, sodass lediglich eine symptomatische Therapie möglich ist. Die Prognose bei einer Erkrankung ist trotz Behandlungsversuchen in der Regel vorsichtig bis aussichtlos. Eine sichere Diagnosestellung ist nur mittels postmortaler Untersuchungen möglich.
CVUA Stuttgart
García JA, Navarro MA, Fresneda K, Uzal FA. Clostridium piliforme infection (Tyzzer disease) in horses: retrospective study of 25 cases and literature review. J Vet Diagn Invest. 2022 May; 34(3):421–428. doi: 10.1177/10406387211031213. Epub 2021 Jul 8. PMID: 34238069; PMCID: PMC9254052.
Swerczek TW. Tyzzer's disease in foals: retrospective studies from 1969 to 2010. Can Vet J. 2013 Sep; 54(9):876–80. PMID: 24155494; PMCID: PMC3743575.
Fresneda KC, Carvallo Chaigneau FR. Tyzzer’s disease. In: Clostridial Diseases of Animals. Uzal FA, Songer WG, Prescot J, Popof M (eds). Wily and Blackwell; 2016: pp. 281–291.
Lembcke, M., Maaß, S., Paar, M. (2003). Tyzzer’s Disease in a Quarterhorse foal. Pferdeheilkunde. 19. 159–163. 10.21836/PEM20030204.
Denis, Kamau, Waddell-Parks, N, Belanger, M. (2000). Tyzzer's disease in an 11-day-old foal. The Canadian veterinary journal. La revue vétérinaire canadienne. 41. 491-2.