Leberwurst – auf Herz und Nieren geprüft!
Dr. Dagmar Otto-Kuhn, CVUA Stuttgart
Hausmacher Leberwurst – für Freunde der herzhaften Küche der Inbegriff von Gemütlichkeit und Hausmannskost. Doch welche Gewebe befinden sich in der Kochwurstmasse noch so außer Leber? Der Blick durchs Mikroskop zeigt erwartete und unerwartete Bestandteile.
Hausmacher Leberwurst – eine Kochwurst mit Tradition
An die traditionelle Herstellung der Hausmacher Leberwurst im bäuerlichen Haushalt nach Hausschlachtung erinnert sich die Autorin noch lebhaft, gevespert wurde dann während der Weinlese im “Wengerthäusle”, vor fast 60 Jahren. Was Hausmacher Leberwurst heute ausmacht, richtet sich nach der in den Leitsätzen für Fleisch und Fleischerzeugnissen wiedergegebenen Verkehrsauffassung.

Abb. 1: Hausmacher Leberwurst im Naturdarm, der Inbegriff der Hausmannskost
Hausmacher Leberwurst – Verkehrsauffassung
Die Leitsätze für Fleisch und Fleischerzeugnisse im Deutschen Lebensmittelbuch beschreiben die Verkehrsauffassung für Hausmacher Leberwurst. Danach ist Hausmacher Leberwurst eine grob gekörnte Kochwurst, aus fettgewebsreichem Schweinefleisch, Fett- und Bindegewebe, Schweinemasken, Leber, Herz und Zunge. Der Leberanteil beträgt 10 bis 30 %.
Infokasten
Die Bezeichnung des Lebensmittels
Die Bezeichnung des Lebensmittels ist nach der EU-weit einheitlich geltenden Lebensmittelinformationsverordnung (LMIV) für vorverpackte Lebensmittel verpflichtend vorgeschrieben. Bei Wurst ist die verkehrsübliche Bezeichnung zu verwenden. Die Verkehrsüblichkeit wird in den Leitsätzen im Deutschen Lebensmittelbuch wiedergegeben. Die Leitsätze für Fleisch und Fleischerzeugnisse beschreiben zum Beispiel die Verkehrsauffassung für „Hausmacher Leberwurst“. Bei loser Ware muss die angegebene Bezeichnung ebenfalls zutreffend sein.

Abb. 2: Hausmacher Leberwurst in der Dose, für ein herzhaftes Vesper
Was sind Innereien und welche dürfen verwendet werden?
„Innereien“ für die Herstellung von Fleischerzeugnissen sind nach der in den Leitsätzen für Fleisch und Fleischerzeugnisse wiedergegebenen Verkehrsauffassung nur Leber, Herz und Zunge. Die Verarbeitung anderer Innenorgane wie beispielsweise Schweinemilz oder Niere wäre nicht üblich und müsste in der Kennzeichnung der Wurst angegeben werden. Bei vorverpackter Wurst, zum Beispiel Hausmacher Leberwurst in der Dose, müssen sämtliche Zutaten, die zur Herstellung verwendet wurden, auf dem Etikett angegeben werden.
Histologische Untersuchung von Hausmacher Leberwurst
Das CVUA Stuttgart untersuchte in den Jahren 2022 bis 2025 40 Hausmacher Leberwurst Proben grobsinnlich und histologisch und beurteilte auch die Kennzeichnung. Die Proben waren zuvor aus Metzgereien oder Lebensmitteleinzelhandelsgeschäften in loser oder vorverpackter Angebotsform entnommen worden.
Für die Lebensmittel-Histologie werden mit Hilfe des Gefriermikrotoms sehr dünne Schnitte hergestellt, gefärbt und unter dem Mikroskop betrachtet.

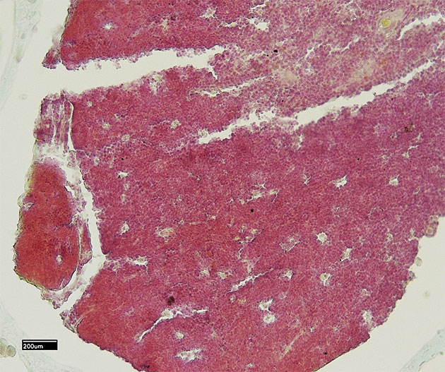
Abb. 3: Histologisches Präparat: Nierengewebe in Leberwurst
Leber ist immer drin!
Die gute Nachricht: Leber ist immer drin. In allen 40 Proben Hausmacher Leberwurst war Lebergewebe in Form von Leberläppchen histologisch nachweisbar.
Neben dem für Kochwurst typischen Zelldetritus, Fett- und Bindegewebe und den Muskelfasern präsentierten sich im histologischen Bild allerlei andere Bestandteile. Gewebe von der Niere war in 5 Proben, von Thymus in 8 und von Milz in 1 Probe nachweisbar. Die Verarbeitung von Niere, Thymus und Milz ist zwar zulässig, muss dann aber in Bezeichnung und Zutatenverzeichnis angegeben werden, was bei sämtlichen Proben leider nicht erfolgt war.
In einer Probe waren wiederverarbeitete Fleischerzeugnisse histologisch nachweisbar. Die Wiederverarbeitung von Fleischerzeugnissen ist grundsätzlich zulässig, sofern die daraus hergestellten Erzeugnisse dadurch qualitativ nicht schlechter werden.

Abb. 4: Histologisches Präparat: Milzgewebe in Leberwurst
| Nachweis von: |
Probenanzahl
|
|---|---|
| unauffällig |
14
|
| Thymus |
6
|
| Thymus und Niere |
2
|
| Herz |
1
|
| Herz und Niere |
1
|
| Milz |
1
|
| Niere |
1
|
| Leber pathologisch verändert, Milz, Niere |
1
|
| Leber pathologisch verändert |
4
|
| wiederverarbeitete Fleischerzeugnisse |
1
|
| andere Abweichungen |
8
|

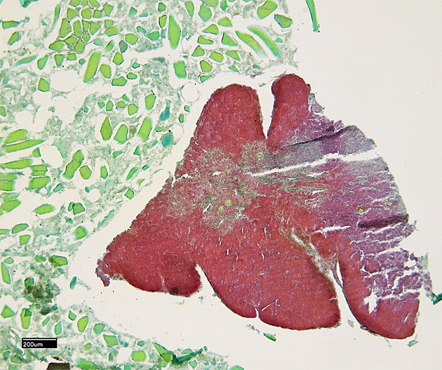
Abb. 5: Histologisches Präparat: Thymus in Leberwurst (rot gefärbte Strukturen)
Pathologie in der Leberwurst
Bei 5 Proben waren pathologische Veränderungen am Lebergewebe mikroskopisch sichtbar, meist geringfügig, in einem Fall sehr ausgeprägt. Die betreffenden Schweine hatten vor der Schlachtung also eine mehr oder weniger starke Leberentzündung (Hepatitis). Bei den Schlachtschweinen wird eine solche Leberschädigung meist durch die Wanderung von Parasitenlarven ausgelöst. Ist eine Leber sichtbar geschädigt, muss sie bei der nach der Schlachtung vorgeschriebenen Fleischuntersuchung als „untauglich“ beurteilt und entfernt werden.

Abb. 6: Histologisches Präparat: pathologisch verändertes Lebergewebe

Abb. 7: Histologisches Präparat: Herzmuskulatur in Leberwurst (Herzmuskelzellen hellgrün mit roten Zellkernen)
Bildernachweis
CVUA Stuttgart
Literatur
LMIV: VO (EU) Nr. 1169/2011: Verordnung (EU) Nr. 1169/2011 des Europäischen Parlaments und des Rates vom 25.11.2011 betreffend die Information der Verbraucher über Lebensmittel, zul. geändert durch die Delegierte Verordnung (EU) 2024/2512 vom 17.04.2024 (ABl. L, 2024/2512, 25.09.2024)
Leitsätze für Fleisch und Fleischerzeugnisse des Deutschen Lebensmittelbuches in der Neufassung vom 14.04.2022 (BAnz. AT 28.07.2022 B1, GMBl. Nr. 29-30 S. 657 vom 10.08.2022), zul. geändert am 07.11.2024 (BAnz. AT 09.12.2024 B3, GMBl. Nr. 53 S. 1162 vom 20.12.2024)