Pansenmykose bei Wiederkäuern – Differentialdiagnose bei schweren unspezifischen Allgemeinerkrankungen nach einer Geburt
Frederik Kukla, Dr. Ulrike Fischer
Im Folgenden wird der Fall eines kurz nach der Ablammung verstorbenen Schafes geschildert.
Ein ca. 6,5 Jahre altes Schaf verendete ca. 10 Tage nach Ablammung trotz intensiver Therapie. Zwei Tage nachdem es spontan gelammt hatte, bekam es starken Durchfall, wies eine akute Schwäche auf, stellte das Fressen und Trinken ein, blutete aus der Nase, atmete gepresst und bekam hohes Fieber. Zum Ende hin verlor es großflächig Wolle und krampfte.
Große Entzündungsherde im Pansen
Als Hauptbefunde bei der Obduktion wurden im Pansen zahlreiche bis zu 6 cm große runde Entzündungsherde, die teilweise durch alle Wandschichten reichten und Entzündungen im anliegenden Netz verursachten, vorgefunden (Bild 1, 2 und 3). Der Pansen war mit Raufutter und sehr viel Getreide gefüllt. Dieser Inhalt roch relativ stark vergoren. Labmagen und Darm wiesen eine katarrhalische Entzündung auf.

Bild 1: Durch die Wand des Pansens bis in das Netz reichende rundliche Entzündungsherde

Bild 2: Zahlreiche rundliche wie ausgestanzt wirkende Entzündungsherde in der Schleimhaut des Pansens

Bild 3: Großer tiefer Entzündungsherd mit rotem Randsaum in der Pansenschleimhaut
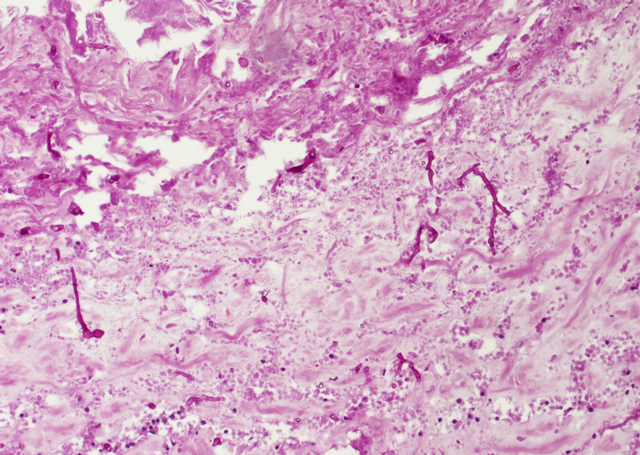
In der feingeweblichen Untersuchung wurde festgestellt, dass es sich bei den herdförmigen Veränderungen in der Wand des Pansens um Infarkte handelte, in denen zahlreiche Schimmelpilzhyphen nachgewiesen werden konnten (Bild 4 und 5).

Bild 4: Tiefreichende Entzündung der Pansenschleimhaut mit Entzündung der Blutgefäße, HE-Färbung, 20fache Vergrößerung

Bild 5: Nachweis der Schimmelpilzhyphen mittels Spezialfärbung, PAS-Reaktion, 100fache Vergrößerung
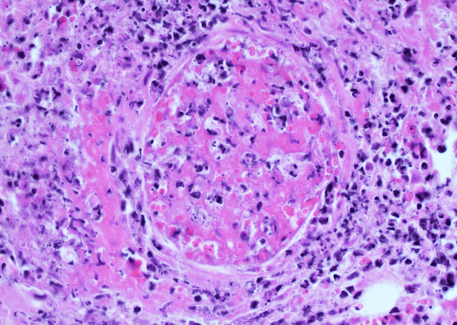
Infarkte entstehen infolge einer Durchblutungsstörung. Und tatsächlich wiesen die Blutgefäße in der Umgebung Nekrosen auf bzw. waren durch Thromben verlegt, ebenfalls mit zahlreichen Schimmelpilzhyphen (Bild 6).

Bild 6: Fibrinoide Gefäßnekrose, HE-Färbung, 400fache Vergrößerung
Die Hyphen stellten sich als relativ breit (5-20 µm), wenig septiert, mit rechtwinkligen, 45° und dichotomen Verzweigungen dar und waren stark fragmentiert. Eine sichere Unterscheidung zwischen Mucorales und Aspergillus spp. war mittels feingeweblicher Untersuchung nicht möglich. Aufgrund der wenig bis nicht septierten Hyphen und der Affinität zu Blutgefäßen mit Thrombusbildung wurde der Verdacht auf eine Infektion mit Mucorales erhoben.
Schwierige Schimmelpilzdiagnostik
Eine Anzüchtung zur weiteren Differenzierung der Schimmelpilze gelang mittels mykologisch-kultureller Untersuchung nicht.
Insbesondere bei Organproben ist die mangelnde Anzüchtbarkeit der histologisch nachgewiesenen Pilze eine bekannte Problematik. Verschiedene Untersuchungen aus der Humanmedizin beschreiben eine Sensitivität der kulturellen Untersuchung aus Gewebeproben und Effusionen von ca. 30-50%. Die Gründe für die geringe Sensitivität sind bisher noch nicht abschließend geklärt. Insbesondere bei invasiven Infektionen mit Schimmelpilzen wird von einer solchen Anpassung des Pilzes an die Bedingungen in vivo ausgegangen, dass er außerhalb des Organismus nicht mehr vermehrungsfähig ist. Eine zu geringe Konzentration von (vitalen) Pilzelementen im Probenmaterial oder eine zu starke Schädigung des Pilzes durch körpereigene Abwehrzellen, die eine Vermehrung des Pilzes in der Kultur verhindern, sind andere Möglichkeiten, die eine negative kulturelle Anzucht erklären könnten.
Um zu einer sicheren Diagnose zu gelangen, gilt es histologische, kulturelle und molekularbiologische Verfahren zu kombinieren.
Eine molekularbiologische Untersuchung zur Differenzierung der beteiligten Schimmelpilze war in diesem Fall allerdings auch nicht nicht erfolgreich.
Mögliche Ursachen für die Erkrankung
Entzündliche Veränderungen des Pansens können infolge einiger viraler, bakterieller, parasitärer, mykotischer, toxischer und ernährungsbedingter Erkrankungen entstehen.
Schimmelpilz-bedingte Entzündungen des Pansens treten selten alleine auf, sondern sind meist die Folge einer Primärerkrankung bzw. einer geschwächten Immunabwehr. So können sie infolge einer Pansenazidose, verursacht durch eine zu getreidereiche Fütterung, in Zusammenhang mit einer Mastitis, nach einer Geburt und bei einer langdauernden antibiotischen Therapie eintreten. Beim Rind wurde von Pilzinfektionen im Pansen sekundär zu viral verursachten Erosionen berichtet.
In diesem Fall kann aufgrund der vorberichtlichen Schilderungen nicht ausgeschlossen werden, dass die Pansenmykose infolge der Geburt eingetreten ist. Zum Zeitpunkt der Obduktion roch der Inhalt der Vormägen stark vergoren, was ein Hinweis auf das Vorliegen einer Pansenazidose sein kann. Allerdings kann diese aufgrund der langen Krankheitsdauer auch infolge der schweren Allgemeinerkrankung eingetreten sein.
Pilzbedingte Entzündungen können überall im Gastrointestinaltrakt auftreten, jedoch sind sie am häufigsten im Pansen und im Blättermagen vorzufinden.
Die Pilze können in die Blutgefäße eindringen und, wie in diesem Fall, Thrombosen und Infarkte verursachen. Daher kommt es häufig zu Nekrosen, die alle Schichten der Vormagenwand betreffen. Außerdem können sie über das Blutgefäßsystem in andere Organe wie die Leber abgeschwemmt werden und dort ebenfalls Entzündungen hervorrufen.
Häufig handelt es sich bei den Schimmelpilzen um Mucoraceae, wie Mucor, oder um Aspergillus.
Literatur
Pathology of Domestic Animals, Jubb/Kennedy/Palmer (Hrsg.), 6th Edition, Elsevier Verlag, 2016
J. Guarner, M.E. Brandt, 2011: Histopathologic Diagnosis of Fungal Infections in the 21st Century
Tarrand JJ, Lichterfeld M, Warraich I, Luna M, Han XY, May GS, Kontoyiannis DP. Diagnosis of invasive septate mold infections. A correlation of microbiological culture and histologic or cytologic examination. Am J Clin Pathol. 2003 Jun;119(6):854-8. doi: 10.1309/EXBV-YAUP-ENBM-285Y. PMID: 12817433.
Sabino R, Wiederhold N. Diagnosis from Tissue: Histology and Identification. J Fungi (Basel). 2022 May 13;8(5):505. doi: 10.3390/jof8050505. PMID: 35628760; PMCID: PMC9144216.
Bildnachweis
Bild 1-6: CVUA Freiburg