Sarkosporidien im Wildfleisch – bereits Einfrieren kann Erkrankungen vorbeugen
Dr. Tanja Thiele, CVUA Freiburg
Im Jahr 2025 wurde Muskelfleisch eines Rehs zur pathologischen Untersuchung an das CVUA Freiburg eingesandt. Beim Zerlegen des Rehs fielen dem Jäger in mehreren Anschnitten großflächige, abgegrenzte weißliche und grünlich schimmernde Areale im Muskelfleisch auf. Das Herz und die übrigen Organe waren unauffällig.
Bei unseren Untersuchungen wurde ein muskuläre Sarkosporidiose diagnostiziert. Dabei handelt es sich um eine parasitäre Zoonose.
Info: Parasiten und Zoonosen
Parasiten sind Organismen, die sich von anderen Lebewesen ernähren. Sie können daher Schäden oder Krankheiten bei Tieren und Menschen auslösen. Bestimmte Parasitenarten können nur zwischen Tieren übertragen werden. Bei anderen Parasiten ist auch eine Übertragung vom Tier auf den Menschen möglich. Eine Erkrankung, die von Tieren auf den Menschen bzw. vom Menschen wiederum auf Tiere übertragen werden kann, wird Zoonose genannt.
Abbildung 1: Reh. Muskelfleischprobe mit Muskelnekrose (Kreis)
Untersuchungsergebnisse im Einzelnen
Die Muskelproben wurden kulturell auf bakterielle Infektionserreger untersucht, jedoch mit negativem Ergebnis. Parallel dazu wurden die Muskulatur feingeweblich (histologisch) untersucht. Das histologische Bild der Muskelfleischproben zeigte eine starke Einwanderung von Entzündungszellen in das Gewebe mit Zelluntergängen (Nekrose) und einem massiven Befall mit Sarkosporidienzysten in diesen Bereichen.
Abbildung 2: Reh. Histologische Untersuchung der Muskelfleischprobe: Übersicht Skelettmuskulatur mit Einwanderung von Entzündungszellen und Nekrose (Kreis)

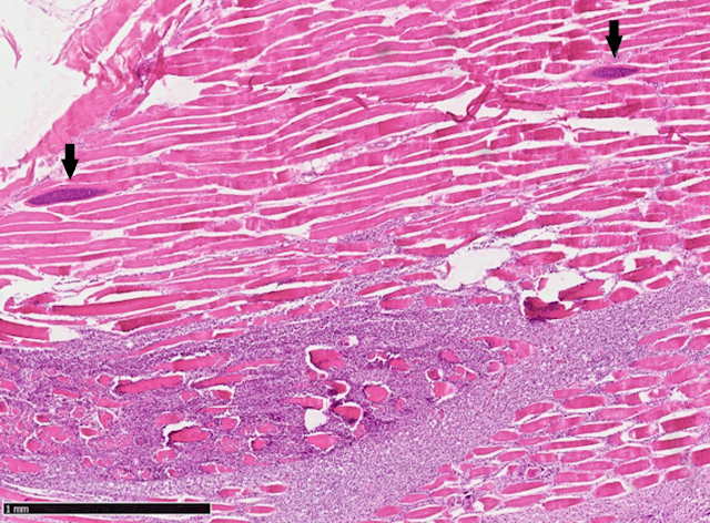
Abbildung 3: Reh. Histologische Untersuchung der Muskelfleischprobe: Nahansicht Skelettmuskulatur mit Entzündung und Sarkosporidienzysten (Pfeile)

Abbildung 4: Reh. Histologische Untersuchung der Muskelfleischprobe: Nahansicht Sarkosporidienzyste in der Skelettmuskulatur
In der Entzündungsreaktion lag ein hoher Anteil von spezialisierten weißen Blutkörperchen vor - den eosinophilen Granulozyten. Diese spielen als Teil des Immunsystems bei der Abwehr von Parasiten eine bedeutende Rolle. Das vorliegende Erkrankungsbild wurde als eosinophile Myositis verursacht durch Sarkosporidien diagnostiziert. Die Grünverfärbung der Muskulatur ist durch die enzymatische Zerstörung des Muskelgewebes durch die eosinophilen Granulozyten und die Bildung von biologischen Abbauprodukten zu erklären.
Sarkosporidien bei (Wild)wiederkäuern
Sarkosporiden sind einzellige Parasiten, welche bei Wildwiederkäuern, kleinen Wiederkäuern, Rindern und Schweinen häufig auftreten. Es sind zahlreiche (>150) Spezies bei unterschiedlichen Tieren und Menschen weltweit beschrieben.
Für die Entwicklung benötigen die Parasiten einen Endwirt (Fleischfresser wie Hunde und Füchse) und einen Zwischenwirt (wie z.B. Wildwiederkäuer, Rinder, Schweine). Am CVUA Freiburg werden Sarkosporidienzysten in der Muskulatur von Wildwiederkäuern, Rindern und kleinen Wiederkäuern häufig als Nebenbefund entdeckt. Bei einem geringen Befall sind die Tiere (End- und Zwischenwirt) klinisch unauffällig, d.h. sie erkranken selber nicht.
Im Zwischenwirt vermehren sich die Sarkosporidien ungeschlechtlich und bilden Zysten in der Muskulatur (sogenannte Sarkozysten). Sie werden über die mit Kot kontaminierte pflanzliche Nahrung aufgenommen, welche infektiöse Sporozysten enthält. Diese gelangen in den Magen und wandern über die Darmwand und die Blut- bzw. Lymphbahnen in das Zielorgan- die Muskulatur. Dort findet die ungeschlechtliche Vermehrung des Parasiten statt und es werden Gewebezysten (Sarkozysten) gebildet, welche zahlreiche infektiöse Stadien (Zystozoiten) enthalten. Wird das Muskelfleisch von einem geeignetem Endwirt gefressen (z.B. Fleischfresser wie Fuchs, Hund, Katze), gelangen die Sarkozysten in den Darm und entwickeln sich in der Darmwand mittels geschlechtlicher Vermehrung zu Oozysten. Diese werden als infektiöse Dauerformen (Sporozysten) mit dem Kot ausgeschieden und können nun wieder vom Zwischenwirt aus der Umwelt aufgenommen werden. Der Zyklus führt sich weiter fort.

Abbildung 5: Entwicklungszyklus der Sarkosporidien.
Es ist bislang nicht bekannt, warum manche Tiere, wie im vorliegenden Fall, an einer eosinophilen Myositis erkranken.
Sarkosporidien-Erkrankungen beim Menschen
Menschen können für die Sarkosporidien als End- oder seltener als Zwischenwirt auftreten. Für viele Sarkosporidien-Spezies werden Menschen auch als Fehlwirte beschrieben. Es sind viele verschiedene Sarkosporidien-Spezies bei den jeweiligen Tierarten bekannt und nicht alle haben zoonotisches Potential für den Menschen.
Neben der Infektion durch den Verzehr von rohem oder ungenügend erhitztem Fleisch eines Zwischenwirts, welches noch infektiöse Sarkozysten enthält, kann auch der Verzehr von pflanzlichen Lebensmitteln bzw. Wasser, welche mit Kot eines Endwirts verschmutzt waren und Sporozysten enthalten, zu einer Infektion beim Menschen führen. Es sind hauptsächlich zwei humanpathogene Sarkosporidien-Spezies bekannt, die vom Rinder- oder Schweinefleisch auf den Menschen übertragen werden können - Sarcocystis hominis und Sarcocystis suihominis. In diesen Fällen stellt der Mensch einen Endwirt dar und die Erkrankung wird Sarkosporidiose genannt. Es können innerhalb von 2 Tagen nach der Infektion gastrointestinale Symptome (Durchfall, Bauchschmerzen, Übelkeit) beim Menschen auftreten. Ursächlich dafür ist wahrscheinlich eine Intoxikation durch die Aufnahme von sehr vielen Sarkosporidienzysten. Sporozysten können noch nach 1-2 Jahren im Stuhl von infizierten Personen ausgeschieden werden. Insgesamt sind diese Fälle in Deutschland jedoch selten. Stellt der Mensch einen Zwischenwirt dar, kann es zu der weltweit sehr seltenen muskulären Form der Krankheit mit Zystenbildung in der Muskulatur kommen.
!Wichtig!
Durch vollständiges Durcherhitzen des Fleisches bei mindestens 71°C über 2 Minuten oder Einfrieren des Fleisches (mindestens -20°C, 3 Tage lang) vor dem Verzehr werden die Parasiten sicher abgetötet.
Wie kann der Zyklus unterbrochen werden?
Um die Krankheit zu verhindern, sollte man den Kontakt von Nutztieren mit Kot von Hunden, Katzen oder Füchsen vermeiden. Außerdem ist es ratsam, den Verzehr von rohem oder nicht ausreichend erhitztem Fleisch zu vermeiden. An fleischfressende Haustiere (z.B. Hunde, Katzen) sollte nur zuvor eingefrorenes Fleisch verfüttert werden. Durch eine Kontamination der Umwelt mit menschlichen Fäkalien kann die Krankheit ebenfalls übertragen werden.
Wie wird die Diagnose (am CVUA Freiburg) gestellt?
- Endwirt (z.B. Hund):
► Parasitologie: Kotuntersuchung mittels Anreicherungsverfahren (Flotation), Nachweis von Oozysten/Sporozysten im Kot - Zwischenwirt (z.B. Wiederkäuer):
► Pathologie: makroskopisch sichtbare Veränderung der Muskulatur, Sarkosporidien als längliche, weißliche Struktur können mit bloßem Auge zu sehen sein
► Histologie: feingewebliche Untersuchung, Zysten sind in der Muskulatur zu sehen
► Molekularbiologie: sensitiver Nachweis mittels PCR, Sequenzierung
Quellen
- Jubb, Kenneth Vincent F., Peter C. Kennedy, and Nigel Palmer. Pathology of domestic animals. Academic press, 2012.
- Deplazes, Peter, et al. Lehrbuch der Parasitologie für die Tiermedizin. Georg Thieme Verlag, 2012.
- Gesundheitliche Bewertung des BfR. Wildfleisch: Gesundheitliche Bewertung von humanpathogenen Parasiten. Stellungnahme Nr. 045/2018 des BfR vom 21. Dezember 2018. DOI 10.17590/20181221-095937-0
- Bundesinstitut für Risikobewertung. Stellungnahme Nr. 026/2008 des BfR vom 20.03.2008. Ungenügend erhitztes Schweinefleisch könnte Sarkosporidien enthalten.
Bildnachweis
Rehfoto: pixabay roe-deer ID4240739
Abbildung 1-5: CVUA Freiburg (Icons in Abbildung 5 erstellt mit Google Gemini)